おかげさまで開設25周年IPC-SP.COM 創業祭

IPC-SP.COM

詳しくはこちら
マイストア マイストア 変更
  • 即日配送
  • 広告
  • 取置可能
  • 店頭受取

HOT ! aminaseページ Engineering an Amine Transaminase for the Efficient

※IPC-SP.COM 限定モデル
YouTuberの皆様に商品の使い心地などをご紹介いただいております!
紹介動画はこちら

ネット販売
価格(税込)

10208

  • コメリカード番号登録、コメリカードでお支払いで
    コメリポイント : 2ポイント獲得

コメリポイントについて

購入個数を減らす
購入個数を増やす

お店で受け取る お店で受け取る
(送料無料)

受け取り店舗:

お店を選ぶ

近くの店舗を確認する

納期目安:

13時までに注文→17時までにご用意

17時までに注文→翌朝までにご用意

受け取り方法・送料について

カートに入れる

配送する 配送する

納期目安:

2025.12.15 0:24頃のお届け予定です。

決済方法が、クレジット、代金引換の場合に限ります。その他の決済方法の場合はこちらをご確認ください。

※土・日・祝日の注文の場合や在庫状況によって、商品のお届けにお時間をいただく場合がございます。

即日出荷条件について

受け取り方法・送料について

カートに入れる

欲しいものリストに追加

欲しいものリストに追加されました

aminaseページ Engineering an Amine Transaminase for the Efficientの詳細情報

Engineering an Amine Transaminase for the Efficient。Engineering an Amine Transaminase for the Efficient。Anti-Glutathione Peroxidase 4 antibody [EPNCIR144] (ab125066。こちらはaminaseページになります。❁❁今後の流れ❁❁デザイン等の確定↓製作&完成後確認↓購入↓発送⚠️出来上がってから無言キャンセルになる方が過去におりました。。。セミオーダーステラルー Sサイズ 2着シェリーメイ Sサイズ 1着~内容~・ワンピース・リボン(ゴムタイプ)・ワンピース・リボン(ゴムタイプ)・ボンネット・ワンピース・リボン(ゴムタイプ)・ボンネット計8点金額…4000円+6700円+6900円=17600円発送方法…ゆうパック※発送する際に多少折れやシワが付いてしまう事がございますのでご了承ください。プロセカ 壊れたセカイと歌えないミク ふわぷち マスコット 4種セット×3。レア商品!◆パリディズニー◆タワーオブテラー × スティッチ ビッグぬ。そういった事がありましたら今後お取引はご遠慮いただきますのでご了承ください。ヘタリアWorld★Stars BIGぬいぐるみ イギリス 2点
  • Engineering an Amine Transaminase for the Efficient
  • Engineering an Amine Transaminase for the Efficient
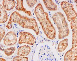
  • Anti-Glutathione Peroxidase 4 antibody [EPNCIR144] (ab125066

同じカテゴリの 商品を探す

ベストセラーランキングです

このカテゴリをもっと見る

この商品を見た人はこんな商品も見ています

近くの売り場の商品

このカテゴリをもっと見る

カスタマーレビュー

オススメ度  4.2点

現在、2452件のレビューが投稿されています。